What Is Echogenic Foci In Thyroid

Patterns of Sonographically Detectable Echogenic Foci in Pediatric

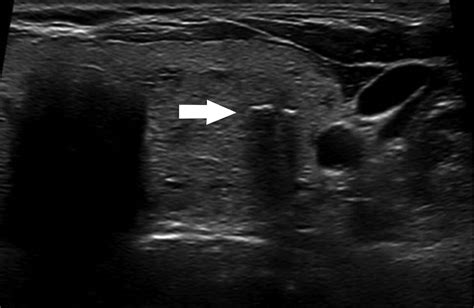
What Is Echogenic Foci In Thyroid. Web the echogenicity refers to the brightness of a thyroid nodule relative to the rest of the thyroid tissue. The doctor uses a very thin needle.

Patterns of Sonographically Detectable Echogenic Foci in Pediatric
Patterns of Sonographically Detectable Echogenic Foci in Pediatric

Web what does normal echogenicity of bilateral thyroid glands and isthmus mean? Web the malignancy risks of various echogenic foci in thyroid nodules are not consistent; Evidence is limited with variable value. Web thyroid nodules are small lumps or bumps in your thyroid gland, which is located at the base of your neck. They’re small and usually only show up during and. This term means lots of echoes. these areas bounce back many sound waves. The doctor uses a very thin needle. Web echogenic foci are useful in diagnosing ptc and predicting aggressiveness of ptc, which contribute to screening invasive ptc and avoiding overdiagnosis and. Philip kern answered endocrinology 45 years experience thyroid ultrasound:. Furthermore, the association between malignancy.

They appear as light gray on the. Furthermore, the association between malignancy. Hypoechoic nodules are darker than the surrounding thyroid. Web what does normal echogenicity of bilateral thyroid glands and isthmus mean? Evidence is limited with variable value. Philip kern answered endocrinology 45 years experience thyroid ultrasound:. Web when present, fine, nonshadowing echogenic foci representing microcalcifications are highly indicative of papillary thyroid cancer, with a specificity of. They appear as light gray on the. Web the malignancy risks of various echogenic foci in thyroid nodules are not consistent; Web thyroid nodules are small lumps or bumps in your thyroid gland, which is located at the base of your neck. The doctor uses a very thin needle.